Parodontie & Santé des Gencives

La Parodontologie

Sauvez vos dents en prenant soin de leurs fondations.

Qu'est-ce que la parodontologie ?

La parodontologie se consacre à la prévention, au diagnostic et au traitement des maladies des gencives et de l'os sous-jacent.

Idéal pour préserver les fondations de votre sourire et garantir une santé bucco-dentaire durable.

Les signes qui doivent vous alerter

Une maladie parodontale commence souvent par une simple gingivite (gencives rouges, gonflées, qui saignent lors du brossage). Sans traitement, elle peut évoluer en parodontite, conduisant au déchaussement puis à la perte des dents.

  • Saignement systématique des gencives lors du brossage ou des repas.
  • Gencives douloureuses ou gonflées.
  • Sensibilité accrue au chaud ou au froid.
  • Impression que les dents "bougent" ou s'écartent.
  • Mauvaise haleine persistante.

Nos solutions thérapeutiques

Au Pôle Dentaire Croix du Sud, nous pratiquons des traitements de surfaçage radiculaire (nettoyage en profondeur sous la gencive) et des protocoles de désinfection pour stopper la progression de la maladie.

L'importance d'un suivi régulier

Le traitement des gencives demande une collaboration étroite entre le praticien et le patient. Le maintien d'une hygiène bucco-dentaire rigoureuse à domicile est la clé pour stabiliser les résultats sur le long terme.

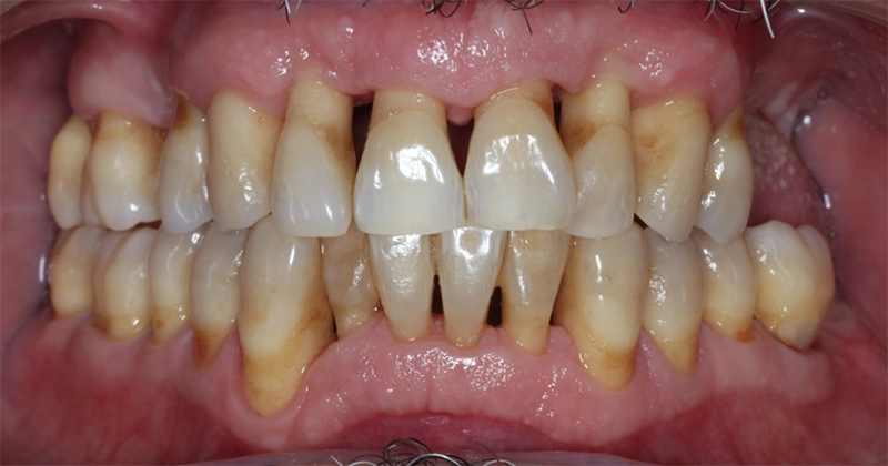
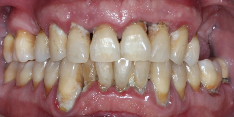
Avant & Après traitement parodontal

Avant traitement parodontal
Après traitement parodontal
AVANT APRÈS
< >